Teeth Whitening Littleton, CO
Professional Whitening for a Brighter Smile
- Certified GLO™ Science in-office and take-home whitening
- Noticeable results in a single comfortable appointment
- Over 300 5-star Google reviews from happy patients

GLO Professional Whitening
A beautifully white smile has the power to change your life and make you GLO - inside and out! We are proud to be a certified GLO Science dental practice, offering our patients the very best teeth whitening experience and results available anywhere — with faster appointments, superior results, and no sensitivity.
We offer GLO teeth whitening options that fit your lifestyle and cosmetic goals, available exclusively through certified GLO dental practices like ours. Let us help you reach your full smile potential and customize the best whitening treatment for you!

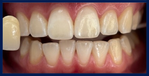
See Our Results


What Our Littleton Patients Say 5-Star Reviews
I just have to say the people at Colorado dental arts couldn't be more professional and courteous. I've been so happy with my dentist and all the personnel. I would recommend them to everyone
View More Google ReviewsI am always appreciative of the kind and friendly service I receive by Dr. Krendl and his staff. They are always improving the services they offer and most recently, I’m thankful for the better fluoride treatment available.
View More Google ReviewsWhy Professional Teeth Whitening?
There are many at-home teeth whitening options, from whitening toothpastes to gels. Why get professional treatment from a dentist?
Dramatic Improvements
Dr. Steven Krendl uses professional-grade teeth whitening products that can make your teeth up to eight shades whiter, well beyond what can be achieved with over-the-counter bleaching products. For example, most toothpastes designed for whitening can only achieve results that are one shade lighter.
Fast Results
In-office whitening is the quickest way to whiten teeth. Noticeable improvements can be seen at your first treatment, which typically takes 60 minutes or less. Alternatively, over-the-counter treatments with their weaker solutions require weeks or months to see any difference.
Safety & Comfort
While teeth whitening is a safe process, it still requires care and attention in how it is performed. Dr. Krendl, who began practicing in 2004, has years of experience safely applying whitening solutions for optimal results and minimal irritation.
How Does Professional Teeth Whitening Work?
In-office treatments use gentle heat and a special LED light to activate whitening solutions and offer patients whiter teeth in 60 minutes or less. This whitening procedure can lift years of stains from coffee, tea, red wine, berries, sauces, and more.
What About Over-the-Counter Products?
Whitening toothpaste, bleaching strips, and other over-the-counter products require both time and patience. Then, you may have to settle for lackluster results. If you would like to give over-the-counter products a try, we recommend first requesting an appointment with Dr. Krendl, who can advise you on what to expect, what to avoid, and whether teeth whitening is appropriate for your tooth discoloration.
Here are some things to think about with over-the-counter products:
Poor Whitening
Over-the-counter products lack the strength to achieve the dramatic whitening available from a dentist. In addition, if you haven't been to a dentist for a while, plaque buildup can interfere with the effectiveness of your whitening product. For the best results, get your teeth professionally cleaned so the whitening solution makes even contact with each tooth.
Irritation and Pain
Whitening solutions should be kept off gums to avoid irritation, so the method of application is important. Some store-bought products use a one-size-fits-all tray to apply the whitening agent. As we all know, one-size-fits-all rarely fits anyone precisely, and this can allow the bleaching solution to irritate tender gums. Tooth sensitivity can also happen if you leave the whitener on too long.
Overbleaching
Dentists use shade guides to determine when you've reached your maximum level of safe whitening. When you use over-the-counter products, you'll have no such guide, and you may be tempted to overbleach and damage your teeth.
Should I Talk to a Dentist First?
Even if you are going to use an over-the-counter product, you should still consult with our Littleton dentist and tap into his professional knowledge. Not every stain responds well to tooth whitening, and it's good to know how much whitening is realistic to expect from simple whitening products like toothpaste.
Dr. Krendl, who has extensive training in cosmetic dentistry, can offer his professional insight about which methods will work in your situation, and he may be able to suggest alternatives better suited for you.


